Diş Eti Enfeksiyonu Belirtileri ve Tedavisi
Diş eti enfeksiyonu, diş etlerinde iltihaplanmaya yol açan bir durumdur ve periodontal hastalıkların bir parçası olarak kabul edilir. Belirtileri arasında kanama, hassasiyet ve kötü ağız kokusu bulunur. Erken teşhis ve tedavi, diş kaybını önlemek için kritiktir.
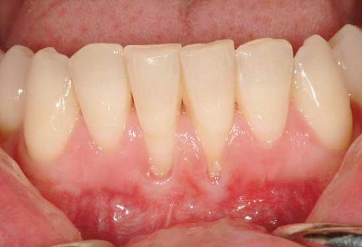
Diş Eti Enfeksiyonu: Belirtileri ve Tedavisi Diş eti enfeksiyonu, diş etlerinin iltihaplanması sonucu ortaya çıkan ve genellikle periodontal hastalıkların bir parçası olan bir durumdur. Bu enfeksiyon, diş etlerinin sağlığını tehdit ederken, aynı zamanda diş kaybına ve diğer sistemik sağlık sorunlarına yol açabilir. Bu makalede, diş eti enfeksiyonunun belirtileri, nedenleri ve tedavi yöntemleri detaylı bir şekilde ele alınacaktır. Belirtiler Diş eti enfeksiyonunun belirti ve bulguları genellikle hafif başlayıp zamanla şiddetlenebilir. Aşağıda, diş eti enfeksiyonlarının yaygın belirtileri sıralanmıştır:
Nedenleri Diş eti enfeksiyonları, genellikle aşağıdaki faktörlerden kaynaklanır:
Tedavi Yöntemleri Diş eti enfeksiyonunun tedavisi, enfeksiyonun şiddetine bağlı olarak değişiklik göstermektedir. Genel tedavi yöntemleri şunlardır:
Önleme Yöntemleri Diş eti enfeksiyonlarının önlenmesi, diş ve diş eti sağlığını korumak için önemlidir. Önleme yöntemleri arasında şunlar bulunmaktadır:
Sonuç Diş eti enfeksiyonları, erken teşhis ve uygun tedavi ile yönetilebilir. Ağız hijyenine dikkat etmek, sağlıklı beslenmek ve düzenli diş hekimi kontrolleri, diş eti sağlığını korumak için kritik öneme sahiptir. Diş eti enfeksiyonu belirtileri gözlemlendiğinde, bir diş hekimine başvurmak en doğru hareket olacaktır. Unutulmamalıdır ki, diş eti sağlığı genel sağlık üzerinde de önemli bir etkiye sahiptir. |






































2 ay önce kanal tedavisi oldum. Şu an dolgu yaptırdığım dişim simsiyah oldu ve diş eti de şişmeye başladı. Bunun sebebi diş eti enfeksiyonundan mı kaynaklanıyor acaba? Ne yapmam gerekir?
Emre Bey,
Geçmiş olsun. Dişinizin renk değiştirmesi ve diş etinizde şişlik olması enfeksiyon belirtisi olabilir. En kısa zamanda diş hekiminize başvurmanızı tavsiye ederim. Hekiminiz gerekli muayeneyi yaparak uygun tedaviyi önerecektir. Sağlıklı günler dilerim.